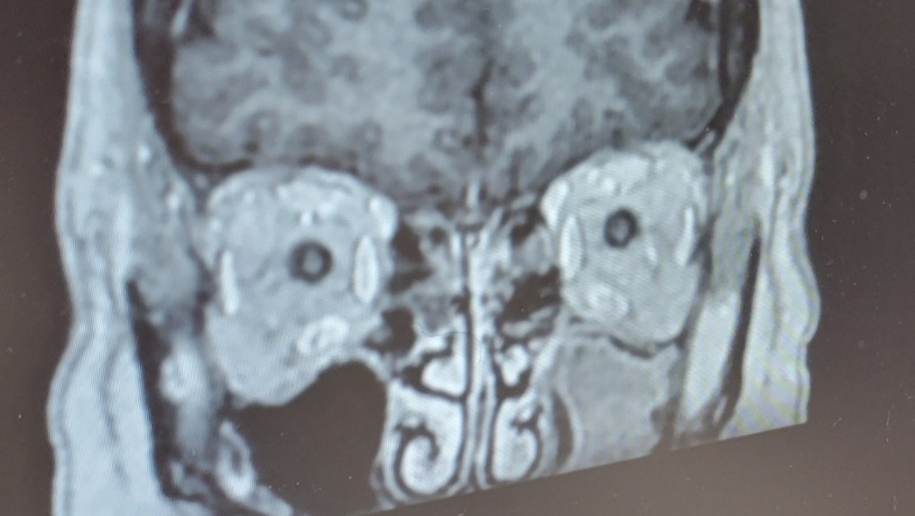
Hello Friends and Family. I am increasing the donation amount for Leyla's GoFundMe because of her upcoming surgery scheduled for September 22nd, next Friday. We will need to stay in Arizona for the initial surgery and for a post-op follow-up 5 days later, on the 27th. I have posted a picture of her MRI so you can understand the seriousness of what is going on with her. The image I have posted is an MRI of her brain, eye, sinuses, and more. Looking at the image, the right side of the image is the left side of her face, and the left side of the image is the right side of her face. Below the eyes are the maxillary sinuses, which should be hollow. When we had the CT scan done last Tuesday, September 5th, there is a complete opacification of the left maxillary sinus. Meaning, the left maxillary sinus is 100% blocked. The right frontal maxillary sinus has severe hypoplasia, which is a rare condition, that also causes headaches and an alteration of her voice.
The surgery will involve the removal of the block in her left maxillary sinus and, the removal of the beginning of a block in the right maxillary sinus. This is an unknown mass that has also caused the base of her skull on the left side, above her eye to deteriorate. This means that when the mass is removed, brain fluid can leak and cause meningitis, a serious condition that can result in serious complications and even death. An ENT will remove the mass, and a neurosurgeon will repair the base of the skull. The additional risk if surgery is not performed soon, is that the mass could travel up into the brain, and she can possibly go blind from the surgery because the mass is so very close to her optic nerves. This can also cause her facial nerves to be affected, causing her face to droop.
It is unknown at this time if this surgery will help the intracranial hypertension, or if this is what is causing it at all. Until this surgery has been completed, this will remain unknown. In the image, you can see the compression of the left side of the brain, her eye, and the major difference between the left and right maxillary sinuses. Each time Leyla is put under anesthesia, her asthma is severely triggered, and she can't breathe. Simple day procedures, turn into immediate hospital stays for her. There are a lot of risk factors with this surgery.
This will be our 5th trip to Arizona, and there will be several more follow-up trips in the near future. We are grateful for all the donations that have been given thus far. I am increasing the amount to ask for additional money for travel and food expenses. The recovery time for Leyla will likely be 6 to 8 weeks, which will mean no driving, no lifting, and basically just resting so she can heal. I will be taking time off from my PetSmart job to take care of her, and to assist with the care of our daughter. I reached out to PetSmart, and any time I take off I will not be paid for. We have already been struggling significantly financially since I lost my state job back in February. We have had help from family and friends, but the expenses reach far beyond what we could have imagined. This has been a lot for us, and we are hopeful that Leyla will make a full recovery and be able to live her life free from pain, and suffering.
Leyla is the strongest woman I know, she still manages to put a smile on her face and get up every day to face the day. I am asking for any help you may be able to provide for our trips to Arizona. I know that times are hard for everyone, and that is a BIG ask, that's why it means so much to us any little amount you can spare. I am hopeful that a state job will come soon for me, and we can begin to build up our finances once more. We are also asking for continued prayers.
Blessings to each and every one of you. We are grateful.
Organizer and beneficiary
Leyla Romero
Beneficiary


