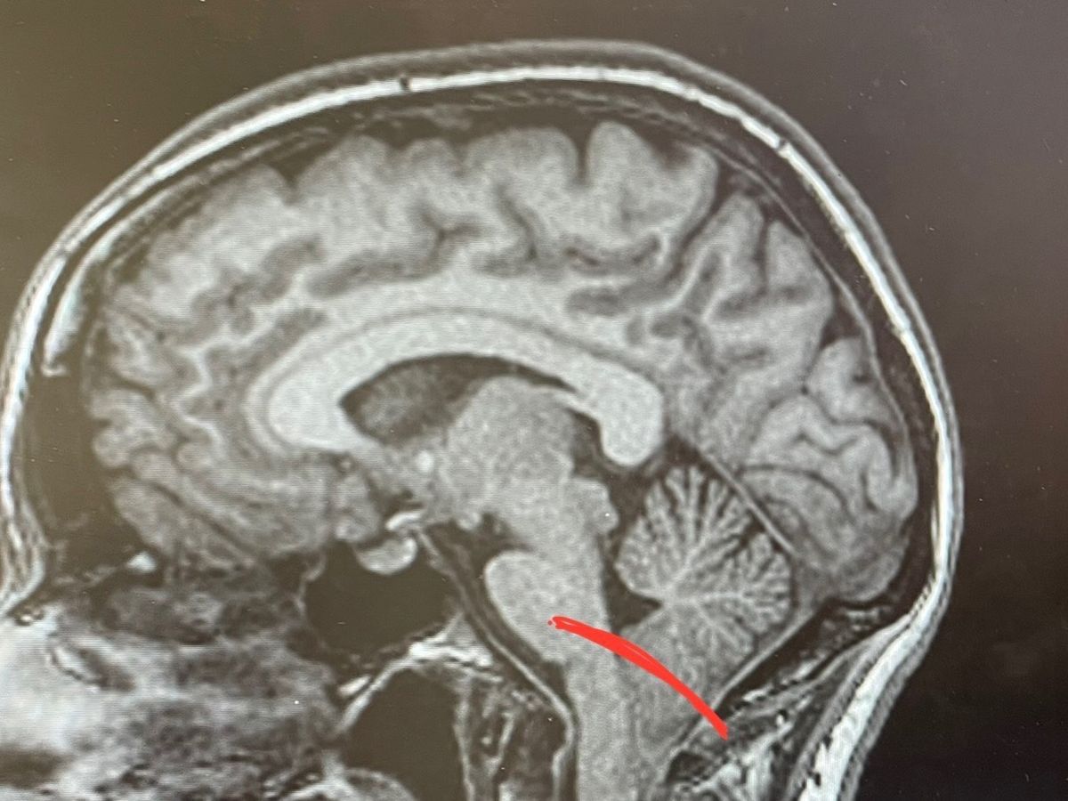
Hello everyone, I will be having brain surgery for a Chiari 1 Malformation on August 7, 2023 (as you can see my brain is massive and way too big for my skull…). I will be out of work and recovering from the procedure for about 3 months. Part of my recovery includes a 3-5 night stay in the ICU/hospital. 
With limited resources available, I am having to figure out how to make arrangements for both medical bills as well as regular monthly bills including rent, utilities, groceries, etc while I am out recovering. 
With this being said, I am reaching out to my support systems for assistance and encouragement during this time. Any and all support you may be able to provide is greatly appreciated! 
Organizer
Taryn Courtney
Organizer
Denver, CO

