Hello,
My name is Manuel and I was recently
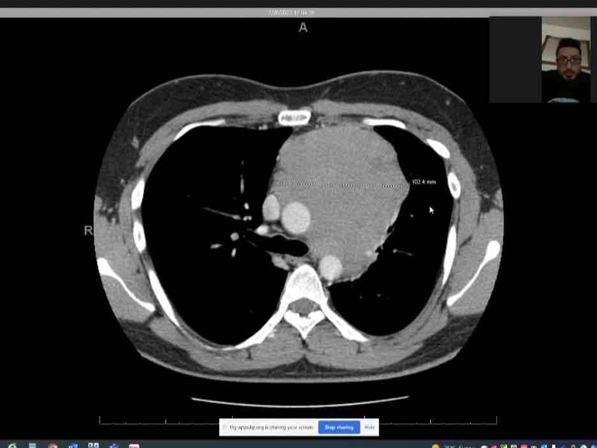
diagnosed with stage 3 mediastinal seminoma cancer in the chest. Seminoma cancer is usually seen in
men in their 20s to 40s and considered
advanced by stage 3, I'm 25 years old and
plan on beating this. However, while i
undergo three months of aggressive chemotherapy and
my fiance takes care of me full-time, we face
finacial hardship with medical and living
expense. We understand that times are hard
for many but will deeply appreciate any
donations, a share of this page, or a prayer. ❤️


