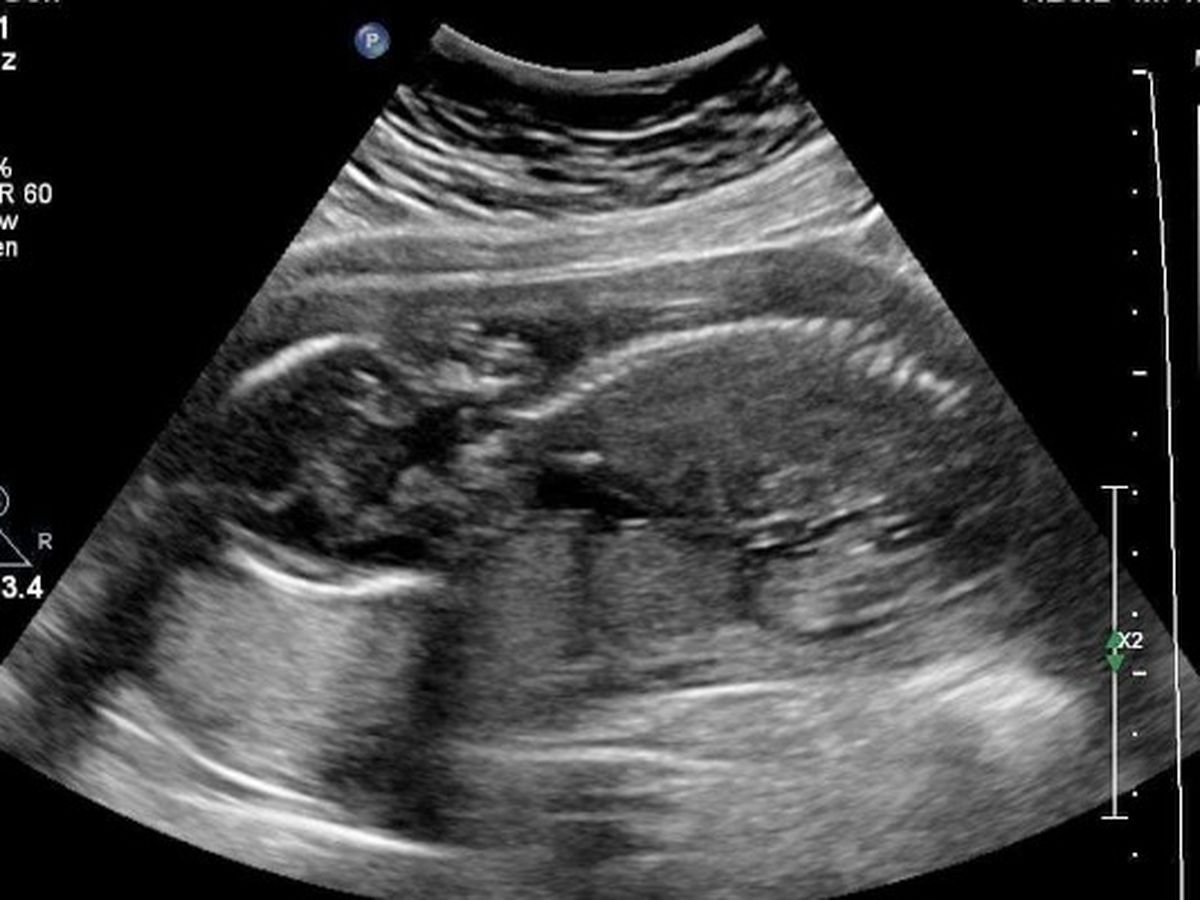
On our 24 week ultrasound we found out our baby may have a birth defect called gastroschisis which is a condition where the intestines were growing through a hole outside of the body. It is currently unknown why it occurs. There is a 95% survival rate. Our doctor sent us to edmonton for a more advance ultrasound and thats when they confirmed the gastroschisis and will need surgery unfortunately grande prairie doesnt have the right doctors / nicu so we will have to relocate to edmonton at 35 weeks pregnant and will need to stay there until baby is stable enough to come home which we could be there 1 month and a half or even longer, depending on how much organs are out and inflamed, and how the surgery and healing goes .
We both will need to take time off work. Which will be hard for us to pay rent, bills for home here in grande prairie and any costs we will need to stay in edmonton.( Parking , place to stay, food) thats not including the things we need to buy our baby still. We weren't expecting this at all and still need some baby items but now that we have to expect to stay in edmonton for who knows how long we have been saving all our extra money and working extra hours. We never ask for help but would appreciate if you could as this is very stressful.
thank you so much for your time and understanding the struggles that come when you find out your baby has been diagnosed with gastroschisis and its never something someone can be prepared for, financially or emotionally. we hope to receive any kind of help whether it's gift cards or donations can be as low as $5.00. We cant thank you enough for your time to read our journey <3
please keep us in your prayers
Etransfers can be accepted :
[email redacted]
Any donations we dont use will be donated back to the children's hospital in edmonton towards gastroschisis research.

